Take a look at a selection of our recent before and afters of some carefully crafted smiles! You smile, We smile too!

Dr. Malone is highly dedicated to providing his patients with the best possible smile. He takes a thorough and precise approach to dental care, paying close attention to every detail of the process. From carefully matching shades to ensure a natural appearance to communicating directly with the lab to guarantee accuracy, he goes above and beyond to achieve optimal results. His meticulous focus on aesthetics and commitment to excellence ensure that each patient receives personalized, high-quality care.

Before

After

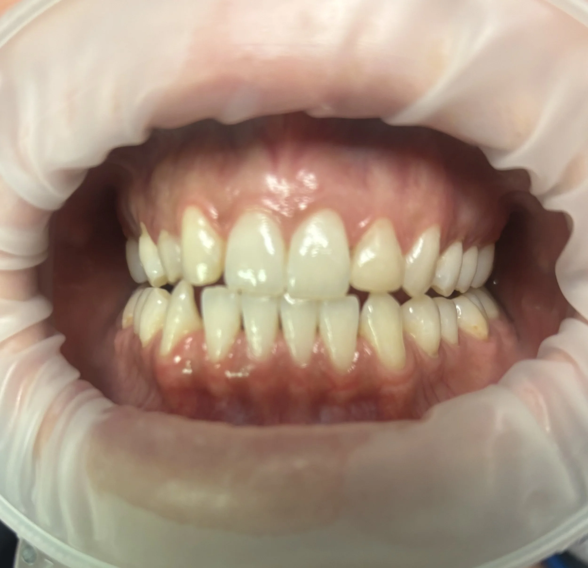
GLO in office whitening treatment March 3,2026

Before

After

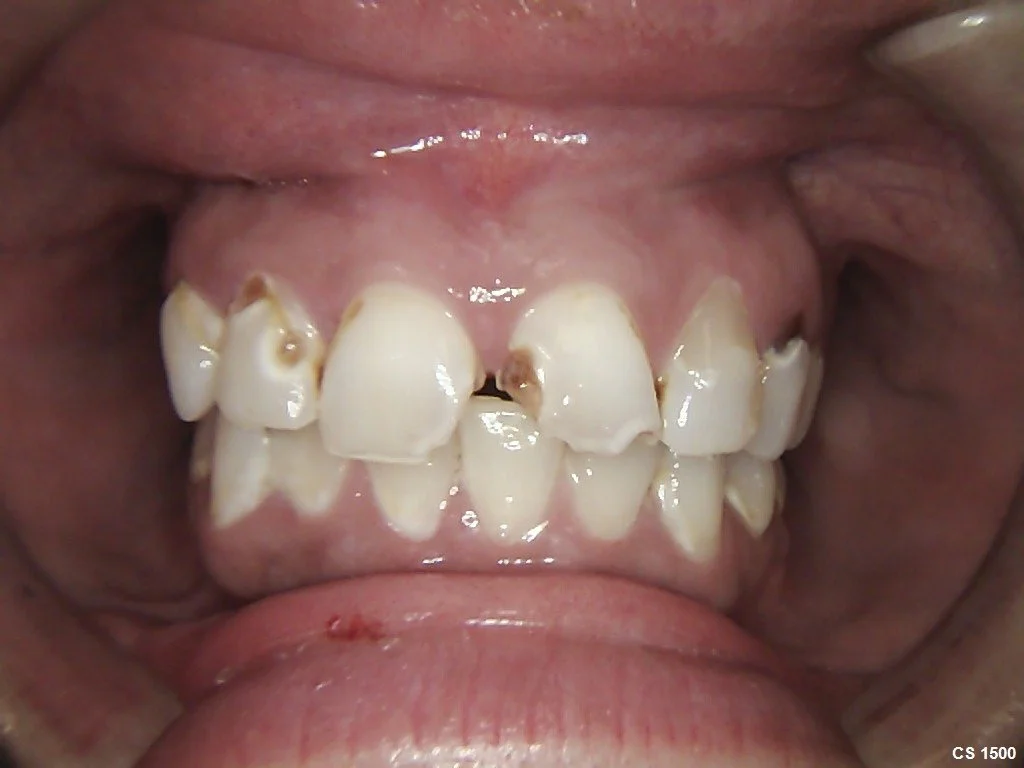
Composite Restoration October 10, 2024

You smile, we smile too!

You smile, we smile too! —